產品中心Cell Resources
聯系我們CONTACT US
18225607483
24小時服務熱線
355185756@qq.com銷售郵箱
產品詳情
麗春紅酸性品紅-苯胺藍染色,是用于檢測動物組織中膠原纖維的一種染色方法之一,能夠將膠原纖維染成藍色,肌纖維、和紅細胞呈紅色,可用于鑒膠原纖維和肌纖維;并顯示各種組織膠原纖維含量及纖維化程度。
| 貨號 | 名稱 | 規格 | 價格(元) |
| PY-10615 | Masson染色 | 張 | 30 |
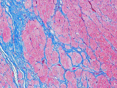
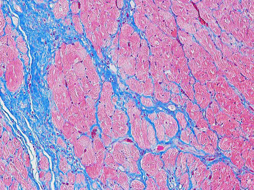
實驗結果展示:
Masson染色-小鼠心臟
實驗流程:
脫蠟至水—重鉻酸鉀過夜-鐵蘇木素染色-麗春紅酸性品紅-磷鉬酸染色-苯胺藍染色—脫水封片—顯微鏡鏡檢
結果判讀:
膠原纖維呈天藍色至亮深藍色;肌纖維、胞質、纖維素、角質白呈紅色至紫紅色;紅細胞呈水紅色。
送樣運輸要求:
1.樣本放置于20倍樣本體積的固定液中固定24h以上,常溫運輸送樣。
切勿固定時間過長,切勿冷凍結冰。
2.石蠟切片常溫運輸,冰凍切片-20℃運輸。







