產品中心Cell Resources
聯系我們CONTACT US
18225607483
24小時服務熱線
355185756@qq.com銷售郵箱
產品詳情
天狼猩紅和KWS都是強酸性染料,易與膠原分子中的堿性基團結合,吸附牢固。偏振光鏡檢查,膠原纖維有正的單軸雙折射光的屬性,與天狼猩紅結合,可增強雙折射,提高分辨率,從而區分兩型膠原纖維。
| 貨號 | 名稱 | 規格 | 價格(元) |
| PY-10614 | 天狼猩紅染色 | 張 | 30 |
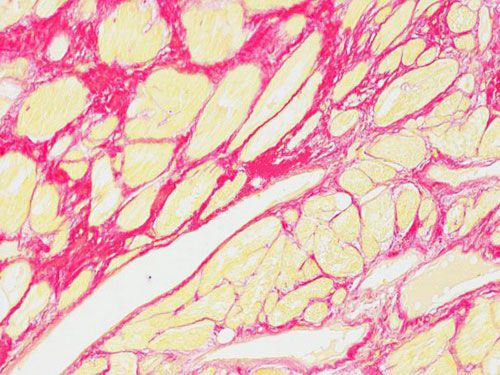
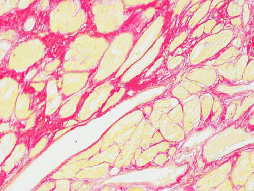
實驗結果展示:
H心肌
實驗流程:
脫蠟至水-天狼猩紅染色-酒精脫水-封片。
結果判讀:
在普通光學顯微鏡下膠原纖維呈紅色,其他組織成分被染成黃色。
送樣運輸要求:
1.樣本放置于20倍樣本體積的固定液中固定24h以上,常溫運輸送樣。
切勿固定時間過長,切勿冷凍結冰。
2.石蠟切片常溫運輸,冰凍切片-20℃運輸。







