產品中心Cell Resources
聯系我們CONTACT US
18225607483
24小時服務熱線
355185756@qq.com銷售郵箱
產品詳情
免疫組化,是應用免疫學基本原理——抗原抗體反應,即抗原與抗體特異性結合的原理,通過化學反應使標記抗體的顯色劑(熒光素、酶、金屬離子、同位素)顯色來確定組織細胞內抗原(多肽和蛋白質),對其進行定位、定性及定量的研究,稱為免疫組織化學技術(immunohistochemistry)或免疫細胞化學技術(immunocytochemistry)。
| 貨號 | 名稱 | 規格 | 價格(元) |
| FY-07258 | 免疫組化 | 張 | 80 |
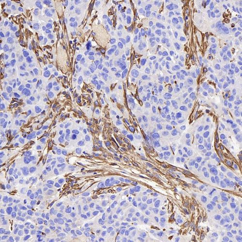
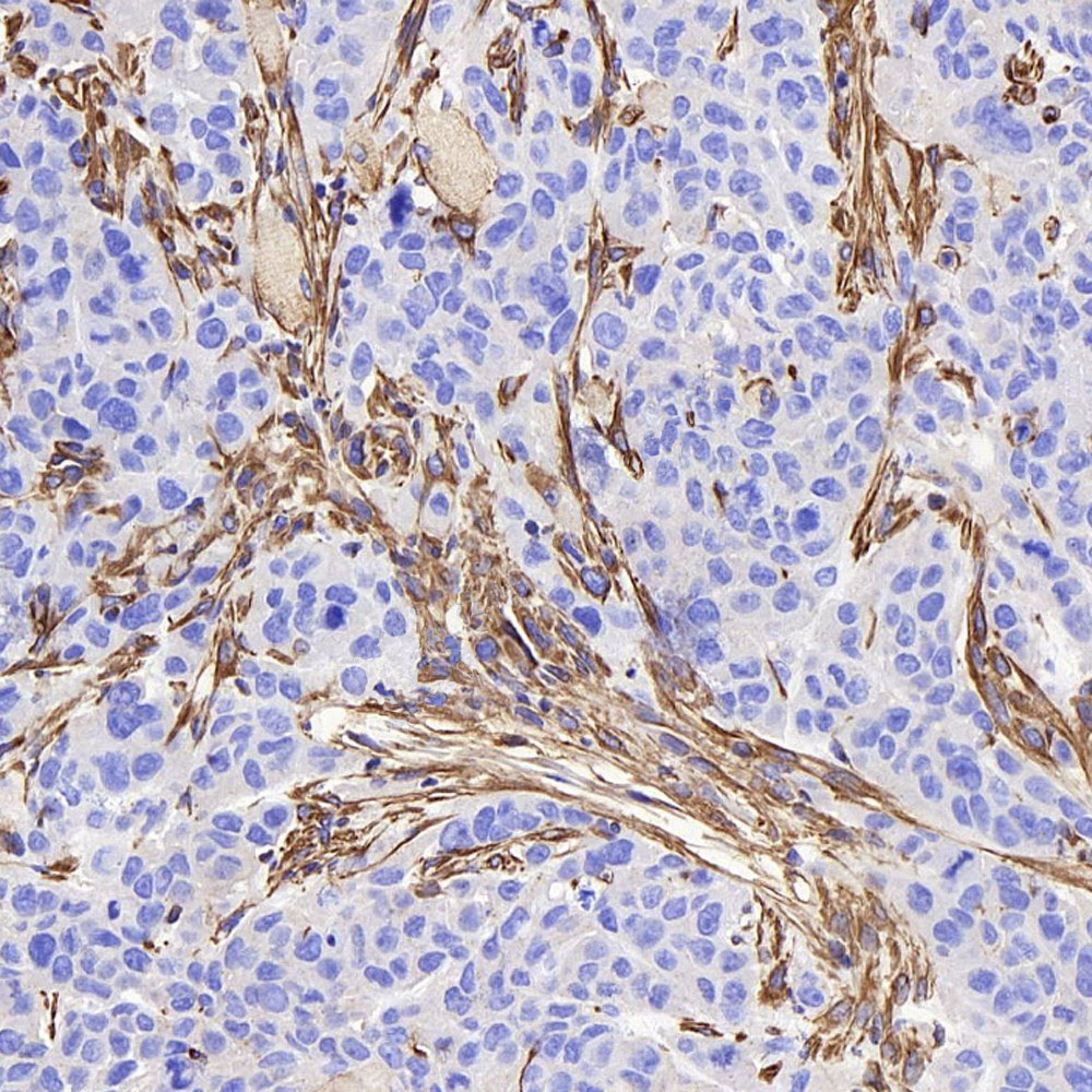
實驗結果展示:
實驗流程:
切片脫蠟至水-抗原修復-3%的雙氧水處理-畫圈-血清封閉-一抗4℃過夜孵育-二抗室溫孵育-顯色-蘇木素染核-脫水、透明、封片-鏡檢
送樣運輸要求:
注意事項:
1)石蠟切片制片,組織取樣后應立即放入固定液中,避免凍存;
2)冰凍切片制片應取用新鮮組織,以免抗原丟失;
3)組織蠟塊可以保存很長時間,但是石蠟切片理論上不能超過半年。冰凍切片不能超過3個月







