科研好幫手 專業生產商
本公司產品僅供科研使用
18225607483
購物車
貨號:FY-0721
規格:40T
價格: ¥ 2080.00
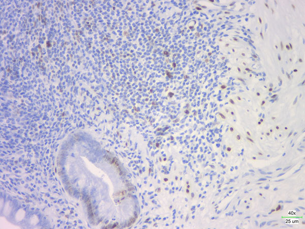
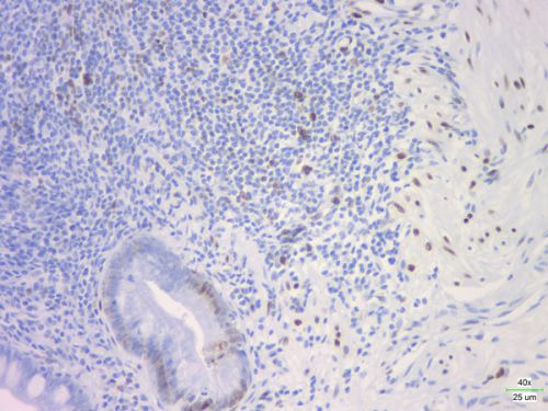
SABER -ISH
signal amplification by exchange reaction(交換反應信號放大).一項新的信號放大技術。傳統探針方法,探針攜帶的標簽有限,其靈敏度往往較低。采用SABER探針技術,在特異探針序列尾部連接一段循環序列,利用循環序列二次雜交,反應產生更多標簽。靈敏度可以提高30倍以上,從而特異性增強信號。
項目:SABER探針合成
價格:1600元/40T
SABER-ISH結果展示
友情鏈接: 科研細胞 病理實驗 石蠟切片 細胞系 原代細胞
本站所展示的所有內容,僅限于科學研究,科研或工業等非醫療目的,不得用于臨床診斷或治療等醫療目的。
合肥德爾夫生物科技有限公司 Copyright © 2025 版權所有,并保留所有權利
地址:合肥市蜀山區長江西路248號11層
電話: 18225607483
郵箱:355185756@qq.com
皖ICP備2022000945號-2
微信
手機訪問