產品中心Cell Resources
聯系我們CONTACT US
18225607483
24小時服務熱線
355185756@qq.com銷售郵箱
產品詳情
人工智能AI病理圖像分析系統
軟件特點:
AI病理分析能讓結果更準確,更全面,讓實驗更高效
軟件介紹:
合肥萬物生物科技有限公司開發的AI病理圖像分析系統,利用最前沿的人工智能算法,整合上萬例的基礎數據進行深度學習。
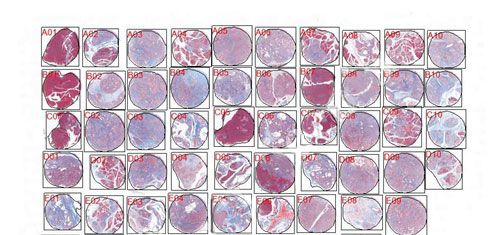
1、組織芯片自動編號。
2、自動識別組織輪廓并進行分區。
3、自動識別陽性細胞,并進行陽性等級劃分。
4、自動進行陽性細胞計數,計算陽性面積。
全流程化、標準統一化、多指標自動化,計算分析病理圖像。
分析內容:
Masson,天狼猩紅,油紅O染色:分析陽性面積、組織面積以及陽性面積占比。
分析圖像類型:
1、掃描文件格式:MIRAX (mrxs);
2、圖片格式:jpg或tif且分辨率不能超過3000×3000;
3、面積類需要200倍放大下成像的圖片或掃描文件,個數類的需要400倍。
分析結果
|
圖片名稱 |
陽性面積 |
組織面積 |
陽性面積比率 |
|
|
|
|
|
分析過程展示圖












