產品中心Cell Resources
聯系我們CONTACT US
18225607483
24小時服務熱線
355185756@qq.com銷售郵箱
產品詳情
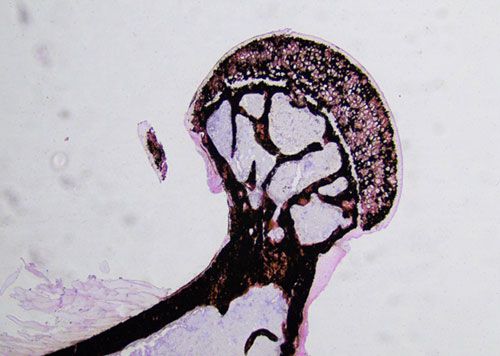
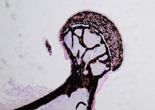
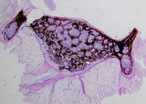
骨組織中含有大量沉積性鈣鹽。利用未脫鈣骨硬組織包埋,制成硬組織切片,完整保留了骨組織中的鈣鹽。骨組織切片經XSY溶液處理,鈣被銀沉積置換,再經強光還原成可見的金屬銀,肉眼觀察為黑色,是一種比較理想的觀察骨組織中鈣鹽沉積的方法。
| 貨號 | 名稱 | 規格 | 價格(元) |
| PY-106116 | 未脫鈣骨von Kossa染色 | 張 | 50 |
實驗結果展示:
未脫鈣小鼠股骨von kossa染色
未脫鈣小鼠椎骨von kossa染色
實驗流程:
切片脫塑-XSY反應蘇木素染色-伊紅染色-脫水封片-顯微鏡鏡檢
送樣運輸要求:
骨組織樣本置于20倍樣本體積的固定液中固定24h以上,常溫運輸送樣。
切勿固定時間過長,切勿冷凍結冰。
實驗流程及案例展示







